人に気づかれずに歯並びを治せたら・・・
そのようなご要望にお応えできるのが、舌側矯正です。

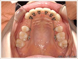
舌側矯正写真「歯並びは治したいけれど、装置をつけていると人目にふれるからイヤ」「人に気づかれずに歯ならびが治せたら」そのようなご要望にお応えできるのが舌側矯正です。
 
従来は歯の表側につけていた装置を、歯の裏側につけるので、表側からは装置が見えません。
矯正装置が外側から見えて、今まで矯正治療にふみきれなかった方には最適な治療法です。
 

舌側矯正Q&A

どのような歯ならびでも舌側矯正で治療できますか?

ほとんどどのような歯ならびでも舌側矯正で治療できます。

舌側矯正の治療費は?

上下裏側に装置を付けると1155000円。 
上を裏側、下を表側に装置を付けると(上を表側下を裏側)93500円です。

治療期間は?

治療期間は表側からでも裏側からでも同じです。

装置の違和感は?

装置をつけて、1週間ほどは違和感や話しづらくなりますが、慣れてきます。